
マウスピース矯正は虫歯になりにくい?
![]()
ちひろ河田 トリートメントコーディネーター
2026.02.27
こんにちは🦷
「マウスピース矯正は虫歯になりにくい」と
聞いたことがある方も多いのではないでしょうか?
実際、マウスピースは取り外しができるため、
歯磨きがしやすく、虫歯のリスクを減らすと思われがちです。
でも、実際にはどうでしょう?
🦷 マウスピース治療とワイヤー治療の虫歯リスク
矯正治療中に虫歯になった患者さんの話を聞くと、
よくある理由のひとつが歯磨き不十分です。
矯正治療をしていると、
歯の表面のエナメル質からカルシウム成分が溶け出し、
歯が白くなる脱灰が起こりやすくなります。
特に、歯磨きがしっかりできていないと、
ホワイトスポット(脱灰した部分)が目立つことがあります。
これについて、
ワイヤー治療とマウスピース治療で
どれくらい違いがあるのかを調べた
ヨルダン大学のチームの研究があります。
-
-
歯垢の付き方
ワイヤーの方が9倍多く歯垢が付く
-
脱灰の深さ
ワイヤー治療の方が3倍深く脱灰が進んでしまう
-
脱灰の面積
マウスピース治療の方が2倍広がる

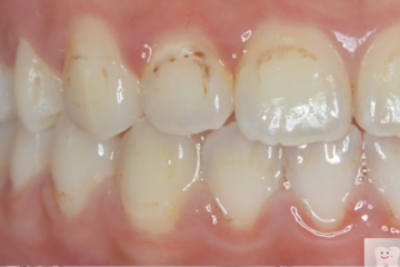
ワイヤー矯正後

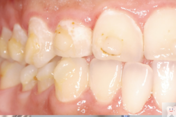
マウスピース矯正後
- これを見ても分かる通り、
-
- マウスピース治療も歯垢が少なくなるわけではなく、
しっかりケアしないと脱灰が進むことがわかります。
🦷 マウスピース治療の注意点
マウスピース治療は、取り外しができるからこそ、
食事後の歯磨きがとても重要です!
マウスピースは歯を覆っているため、
唾液による清掃が少なくなり、
食べかすや汚れが残りやすくなります。
例えば、ジュースやスポーツドリンクを飲んだ後、
そのままマウスピースを付けてしまうと、
汚れがこびりついてしまいます。
だからこそ、食事後には
しっかりと歯磨きとフロスをしてから、
マウスピースを装着するように心がけましょう!

🦷 ワイヤー治療の方が虫歯になりにくい?
「歯磨きの時間が取れないから、
ワイヤー治療にしようかな?」
と考えている方もいるかもしれませんが、
ワイヤー治療でも、歯磨きをすることが大切です。
ブラケットの周りに汚れがたまりやすいので、
時間をかけてしっかり磨くことが必要です。
歯磨きに手間がかかるからこそ、
隅々まで丁寧に磨くことがとても重要です。
ワイヤー治療で歯磨きが面倒だからといって、
歯磨きをおろそかにするのは絶対に避けましょう!
🌱 矯正治療中の歯磨き指導とサポート
イースマイルでは、
初診時、矯正装置を装着した後に、
しっかりと歯磨き指導を行っています。
治療中は、患者さんご自身の自己管理がとても大切です。
毎日のケアを習慣化し、
虫歯を予防しましょう!
当院では、ケア用品も販売しておりますので、
ご希望の方はぜひお声がけください☺️
マウスピース治療だから、ワイヤー治療だから、
といって甘えず、食事後の歯磨きを習慣化することが、
虫歯を防ぐ一番のカギとなります。

🦷 まとめ
-
マウスピース治療は取り外しができるからといって、虫歯になりにくいわけではない
-
食事後にはしっかりと歯磨きとフロスをして、歯垢を取ろう
-
ワイヤー治療も、歯磨きが面倒でもしっかりと隅々まで磨くことが大事
イースマイルでは、
矯正治療中のケアが重要だということをお伝えし、
一緒に良い習慣を作っていけるようサポートしています✨
🎥 YouTubeでも詳しく解説しています。
イースマイルオンラインストアのご案内
歯ブラシ・歯磨き粉・フロス・歯科専売モンダミンのほかに
矯正治療のサバイバルグッズも販売しております!
5,000円以上の購入で配送料無料!!
Enamel demineralization during clear aligner orthodontic treatment compared with fixed appliance therapy, evaluated with quantitative light-induced fluorescence: A randomized clinical trial Ziad Albhaisi, Susan N. Al-Khateeb, and Elham S. Abu Alhaija https://pubmed.ncbi.nlm.nih.gov/32354…