
マウスピース矯正リアル体験記|出っ歯の治療

奥川 有莉香 トリートメントコーディネーター
2026.01.16
自分の矯正治療を振り返って🤔💭
こんにちは!
トリートメントコーディネーターの奥川です😊
今回は、私が実際に矯正治療を受けた経験を振り返ってお話しします。
インビザラインを使った治療を始めた
私の体験、治療中の感想、ケアの大変さについて
詳しくお伝えします!
矯正治療を決意したきっかけ💫
最初は正直、歯並びにはあまり気を使っていませんでした。
並び自体はそこまで悪くなく、唯一気になっていたのは
「出っ歯」でしたが、これもあまり気にしていませんでした。

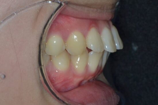
矯正治療前
しかし、イースマイルに入社してから徐々に歯並びが気になり、
ついに治療を決意しました。

入社1年目(2016年)の誕生日をお祝いしてもらったときの写真!
治療スタート!抜歯から始まりました🦷🛠️
治療を始めるにあたり、
まず最初に行ったのは親知らずの抜歯です。
歯茎の中に埋まっていて、横向きだった親知らず4本を抜き、
その後精密検査を受けました!
その結果、小臼歯を上下左右1本ずつ抜歯することに。
親知らずの抜歯に比べると、抜歯自体は全く痛くなかったのですが、
食事がしにくい時期が続きました。

よくみると前から4番目の歯が抜けてます!
特に米粒が抜歯した隙間に挟まって大変だったので、
しばらくは麺類をメインに食べていました🍜
また、一時的に知覚過敏になったこともありましたが、
時間とともに落ち着きました。
初めてのマウスピース装着!違和感がすごかった😱
初めてマウスピースを装着したとき、
「本当に続けられるかな?」と思うほど違和感がありました💦
普段カチカチと噛めていた歯同士がすべて覆われているので、
噛み合わせがうまくできず、浮いた感じがありました。
さらに「サ行」が言いづらかったり、
就寝中に食いしばりをしてしまうことも😢
最初の1~2ヶ月はかなり違和感を感じましたが、
マウスピースを1日20時間装着しなければならないので、
すぐに慣れてきました👍
矯正の痛みについて⚡️
矯正治療中に感じた痛みは、
じわじわとした痛みでした。
クリンチェックという治療計画を使うと、
どの歯がどのタイミングで動いているかがわかるのですが、
その動いている歯が痛かったです😢

特に前歯が痛むときは、
マウスピースを外して食事をする前にしばらく待ってから、
痛みが収まるのを待っていました。
数分でおさまり、食事には支障なく戻ることができました🍚❤️
マウスピース矯正の良いところは、食事の際に装置を外せるところですね✨
歯磨きとケアが必須!🪥🫧
治療中の歯磨きとケアは重要です✨
外出先でも小さい歯磨きポーチを持ち歩き、
フロスを使ってしっかりケアをしました。

最初は大変かもしれませんが、
ケアをサボらず続けることが大事です😊
外出時にどうしてもできない場合は、
水でうがいをしてマウスピースを戻す。
これを繰り返すことで、少しずつ習慣が身についてきます!
次回のブログで歯の変化について書きます✏️
今回は、マウスピース矯正治療中に感じた生活面でのことを振り返ってお話ししました。
次回は、治療を始めてからの歯並びの変化についてお伝えしたいと思います😊
どうぞお楽しみに🦷
初診コンサルテーションのご案内
イースマイル国際矯正歯科の初診コンサルテーションをご希望の方は
こちらからご予約くださいませ。
オンラインコンサルテーションや歯ならびWeb相談も受付中!